Uśmiech to pierwsze co widzą w nas inni ludzie
W Poradni Chirurgiczno – Stomatologicznej pomagamy realizować marzenia o pięknym uśmiechu. Pod okiem naszych specjalistów 5 osób przeszło całkowitą metamorfozę uśmiechu odzyskując zdrowie i radość życia.
Przedstawiamy przykłady kompleksowych terapii oraz metamorfoz uśmiechu przeprowadzonych przez zespół poradni. Obejmują one zarówno leczenie ortodontyczne i estetyczne, jak i pełne rekonstrukcje implantoprotetyczne u pacjentów z częściową lub całkowitą utratą uzębienia.
Proces zmiany uśmiechu dopasowujemy indywidualnie do potrzeb naszych pacjentów zapewniając im trwałe, a przede wszystkim naturalne rezultaty.
Nowy uśmiech to szansa na nowe życie: odzyskanie zdrowia, pozbycie się kompleksów i ograniczeń.
Dynamiczny rozwój infrastruktury, wzmocnienie zespołu oraz konsekwentne wdrażanie nowoczesnych procedur pokazują, że stomatologia w strukturach Wojskowego Instytutu Medycznego stale podnosi standard opieki, zapewniając Pacjentom kompleksowe i nowoczesne leczenie.
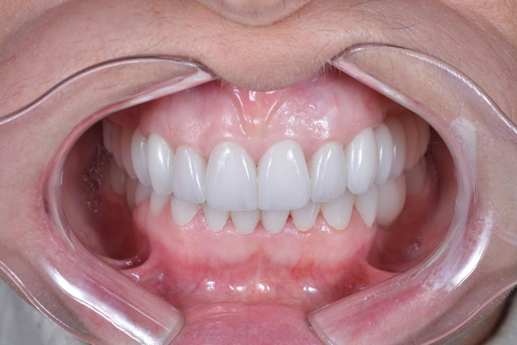
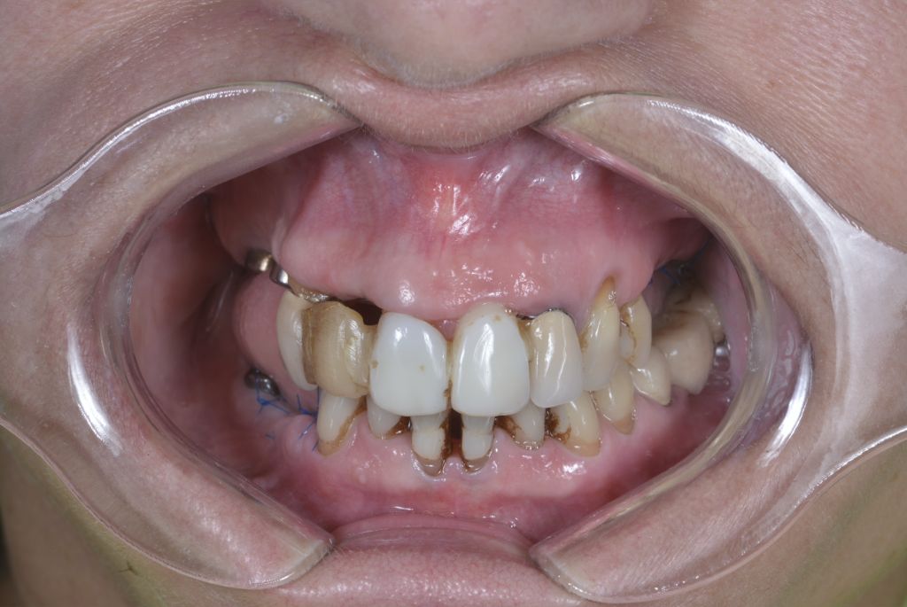
Metamorfoza 1


Metamorfoza 2


Metamorfoza 3


Metamorfoza 4


Metamorfoza 5

